25 березня студенти групи IІІ ЛДф-1 у супроводі доцента кафедри, к.б.н. Ольги Гопаненко відвідали сучасну Європейську медичну лабораторію СІНЕВО.
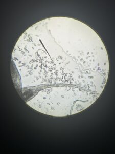
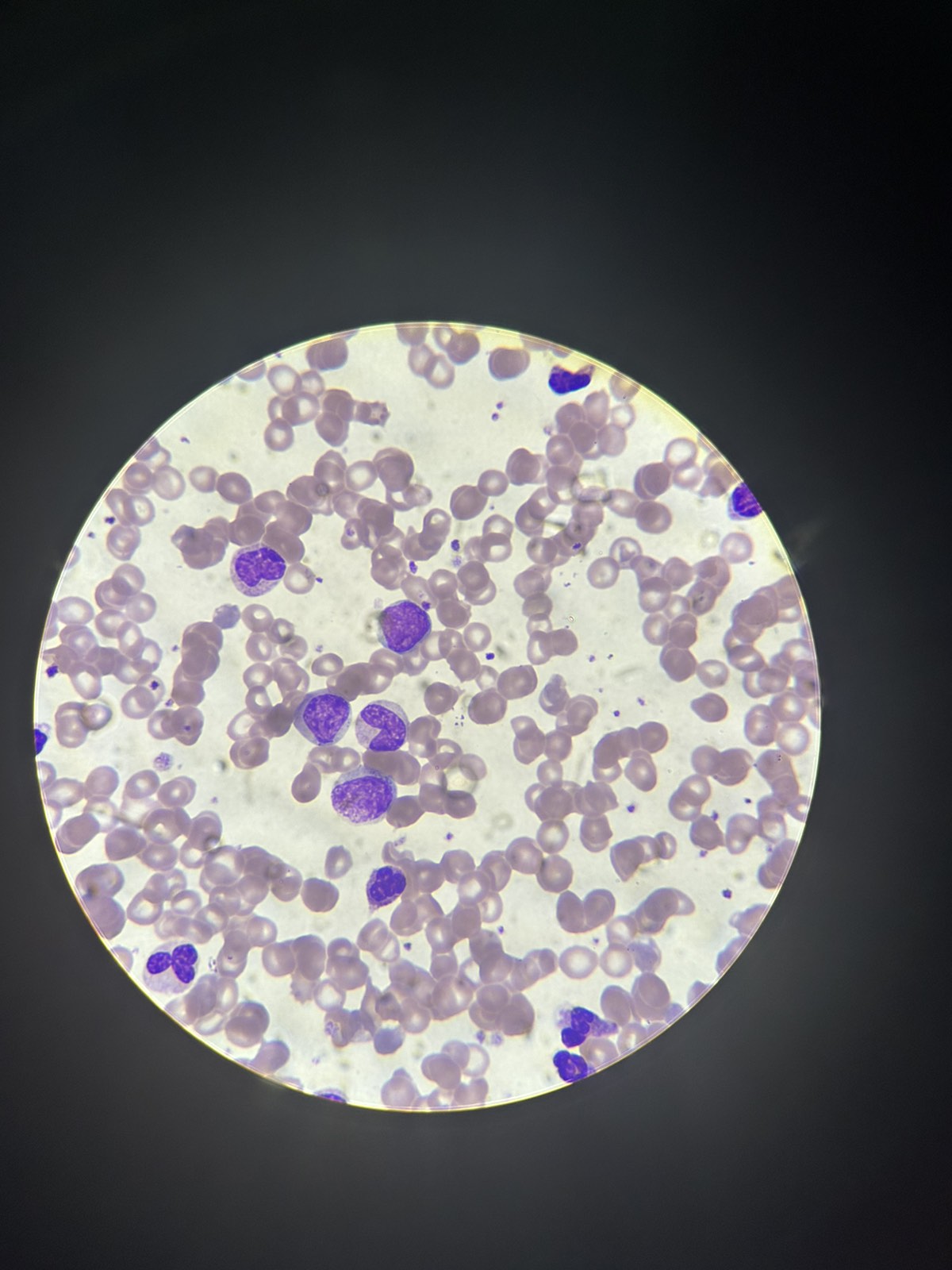
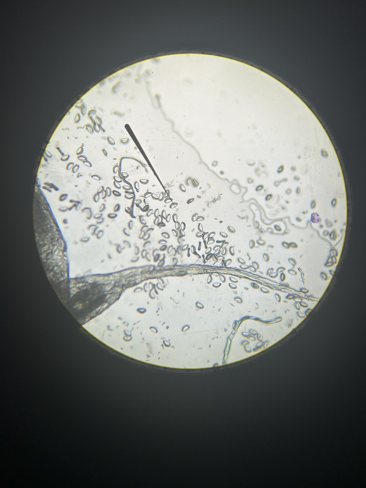
Вдячні за гостинність і теплий прийом завідувачці лабораторії п. Галині Малиновській, яка вкотре знайомить наших студентів із усіма етапами роботи та процесами в лабораторії. Пані Галина розповіла про щоденні обов’язки лаборантів/лікарів та дуже детально продемонструвала роботу на сучасних аналізаторах. Спеціально для наших студентів фахівці підготували серію демонстраційних біопрепаратів і клінічні цитологічні зразки. Особливо приємно, що зустріч пройшла у щирій атмосфері: майбутнім фахівцям не лише побажали успіхів, а й запросили подавати резюме для подальшого працевлаштування.
Пишаємося нашими студентами та щиро дякуємо компанії «Сінево» — надійному стейкхолдеру нашої Академії! Така співпраця відкриває перед студентами реальні перспективи та надихає на професійний розвиток.









